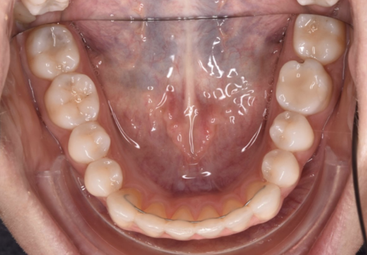
LINGUAL ALIGNER
A discreet orthodontic aligner combining precision and invisibility — the future of lingual treatment

Our multidisciplinary team of orthodontists, prosthetists, engineers, and designers work hand in hand to bring new possibilities to life.



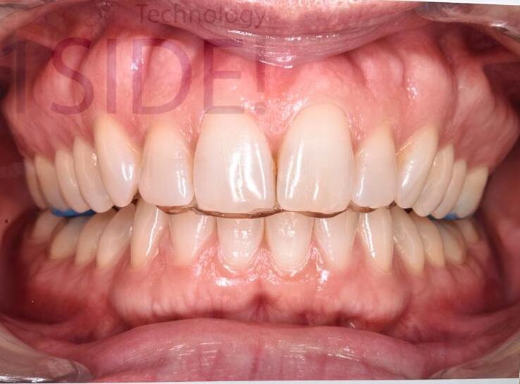
The world’s first patented lingual aligner designed to free patients from the visible constraints of traditional clear aligners.
Our innovation offers total discretion and unmatched comfort — no need to remove aligners multiple times a day to snack or drink.

Thanks to a minimalist design, it also reduces plastic use, supporting a more sustainable approach.
Experience orthodontic treatment like never before, with a device that feels like a second skin and remains virtually invisible.


